手術をする理由
進行は、10~12歳の場合、コブ角30度以上の側弯は90%の確率で、コブ角60度以上の側弯の場合は100%の確率で進行するといわれています。
このようなカーブを放置しておくと、重度の側弯症に進行してしまいます。
(1)カーブの進行予防
手術の目的は、そのカーブの進行を止めることです。重度の側弯症になった場合(約80度以上)、肺機能の低下が生じます。脊柱カーブによって胸郭が変形するからです。(図1参照)
日常生活に大きな支障は見受けられませんが、労作時などの息切れなどを自覚するようになります。また、腰痛や背部痛の発生率も増加します。
骨の成長終了後(18-20歳以上)も40度を超えた側弯症は年間0.5-1度程度の進行があるといわれております。
成長終了後の側弯症では、今後の進行の可能性と手術のリスクなどを主治医と相談して、手術を受けるかどうか決めたほうが良いと思われます。

(2)整容目的
側弯症患者のself-image(自分の容姿に対する自己評価)はコブ角30度を超えると劣等感を抱き始めると言われております。
コブ角の悪化に伴いその感情が顕著になるともいわれており、そのため、精神的健康獲得のために手術を行う場合もあります。
しかし手術には合併症などの危険性が伴うばかりでなく、皮膚に傷跡も残ります。手術について主治医と慎重に検討するべきです。
手術のタイミング
- 進行性のカーブで放置しておくと重度の側弯症に進展する可能性がある場合。
- 装具療法などの保存療法の効果がない場合。
- 具体的に言うならば特発性側弯症で年齢10-15歳のコブ角50-60度以上のカーブ。
ただし、個々の症例で異なる場合もあるので、主治医と十分に話し合う必要があります。また、症候性側弯症の場合は、例外が多いので主治医と相談して判断した方がいいと思われます。
手術方法に関して
矯正するカーブの場所により方法を使い分けます。後方法は胸椎カーブ、胸腰椎カーブに適応されます。前方法は胸腰椎カーブ、腰椎カーブに適応されます。(図2)

手術方法は大きく分けて前方法(図3)と後方法(図4)の二つに分けられます。


以前は胸腰椎カーブにも前方法が適応されてきましたが、近年では強制力が高い椎弓根スクリューの普及で後方法の適応が増えております。
カーブが大きい場合や、若年者で今後の大きな身長の伸びが見込まれる場合、前方法・後方法の合併もあります。
(1)前方法 (図3、図4参照)
前方法は背骨の前方成分、すなわち椎体や椎間板を実際に触って矯正する方法です。
麻酔をかけた後、手術台の上で横向きに寝ていただきます。そして、肋骨に沿って皮膚を切開し、肋骨を1本切除して椎体や椎間板に側方よりアプローチします。そして、矯正予定範囲の椎間板を切除し、そこに外した肋骨を移植して、椎体にスクリューを1-2本入れてロッドで矯正を行います。
(2)後方法 (図3、図4参照)
背中に縦の皮切を加えて、背骨から筋肉を剥がして棘突起、椎弓、横突起といった背骨の後方組織を露出します。
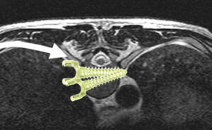
矯正に使用する機械は主に椎弓根スクリューとロッドを使用します。時によってはフックやワイヤーも使用します。(図5)
椎弓根にスクリューを設置し、そこにロッドを連結させて様々なテクニックを用いてカーブを矯正していきます。(図6)
矯正を行った後は骨移植という作業を行います。スクリューとロッドでしばらくの間は矯正を保持できますが、その内、金属疲労でスクリューやロッドが折れたり、スクリューが緩んだりします。
そのため、矯正した範囲の背骨を一つの骨にくっつける作業が必要になります。使用する骨は大抵の場合は右の腸骨(骨盤の骨)から採取します。


一方、乳幼児期や学童時期の側弯症では、まだ身長が低く、その後の身長を考慮する必要があります。そのため、骨をつけない方法もあります。(図7)

※ロッドの上端と下端だけにスクリューを使い固定しますが、それ以外の部分は骨移植を行いません。
その後は成長にあわせて、一定期間ごとにロッドの延長を行います。
手術前の事前準備
(1)自己血貯血
手術前の重要な準備の一つに自己血貯血があります。手術中や手術後の多くの出血のため貧血になることが予測されます。
日本赤十字社が用意する血液を輸血することも可能ですが、側弯の治療では事前に自分の血を貯めておいて、それを手術中や手術後に使用します。
自己血の貯血は、手術日約一ヶ月前から開始し、一週間に1-2回のペースで採血をして血液を貯めます。
貯血期間には鉄剤を内服します。鉄分は血が作られる時の原料になります。後方法の場合は1000-1200ml、前方法の場合は400-800ml血液を貯めます。
しかし、体重が少なかったり、合併疾患のために貯血が不可能であったり、多くの血液を貯血できない場合もあります。
(2)画像検査
画像の検査には大きく分けて三つあります。まずはMRIです。これを用いて脊髄の異常がないかどうか調べます。
次にCTです。骨の奇形がないかどうか、また、スクリューの設置位置などの手術計画を立てるために使用します。
そしてレントゲン検査です。カーブの柔らかさを評価するために行います。仰向けに寝て体を左右に体を曲げたレントゲンや、牽引したレントゲンを撮ります。
(3)その他
他には血液検査を、胸のレントゲン撮影、また、場合によっては小児科の先生に診察していただくこともあります。
呼吸訓練が必要な際は、スーフルと呼ばれる呼吸筋を鍛える道具を買っていただき、呼吸訓練を行います。
入院後の予定
一般的な入院後~手術までの流れを説明します。(ただし、これはあくまでも目安です。)
入院する日
大抵の場合、手術の三日前に入院します。ただしベットの空き具合によって1-2日程度前後する場合があります。
手術前の検査や診察
入院後、鼻と咽喉の培養検査を行います。これは抗生物質の効かない有害な菌が体の中にいないかどうか検査するためです。手術のためのレントゲン撮影、また小児科の診察を受ける場合もあります。麻酔科の診察もあります。また、手術に関する説明があります。
手術前日
手術前日には、腸の中を空っぽにする準備があります。これは術後に頻発する腹満感、イレウスを予防するためです。
術後の経過
手術当日
手術当日は、集中治療室で過ごします(全身状態が安定している場合は直接元の病棟に戻る時もあります)。
そして、全身状態が安定しているようでしたら、翌日には一般病棟に戻ります。手術後より定期的に体位交換を行います。これは、床ずれを予防すること、無気肺や肺炎などの予防、腸管の動きを良くする意味があります。
手術後の食事や水分補給
食事は排ガス(おなら)があったら開始します。手術後は傷の痛みや痛み止めの薬(モルヒネ)の影響でおなかの動きが一過性に悪くなります。
そのような状態で食事を開始すると、気分が悪くなってしまったり吐いたりしてしまいます。そのため、おなかが動き出して排ガスがあるまでは食事は控えます。
しかし、翌日から水分を少しずつ飲むことは可能です。あまり、長い間食事が開始できない場合は点滴で栄養を補給します。
手術の徒歩
手術後2日目にドレーン(傷の中に血がたまらないようにするもの)を抜去します。痛みが我慢できるようなら、この時から立って歩くようになります。
痛みが強いようなら無理に立って歩く必要はありませんが、大抵の人が術後3-4日目には痛みが落ち着いて歩くことができるようになります。
装具の準備
手術後4-5日に装具の型採りを行います。装具は1週間ほどで完成します。この装具は術後3-6ヶ月間使用していただきます。術後の合併症がないようなら、手術後10日程で退院です。
術後の痛みの管理
側弯症の手術は傷が大きいため、手術後の痛みも他の手術と比べて強いものになります。
痛みの管理はPCA(自分でボタンを押して痛み止めの薬を投与するもの)と、座薬を使用して痛みを抑えます。
しかしながら、完全に痛みを抑えることはできません。特に手術後1-2日は痛みが非常に強い場合もあります。